Intraoral-Sensor OPTEO
Hochauflösender, zuverlässiger und langlebiger Dental-Sensor


Nächste Generation intraoraler Sensor, entwickelt um Ihre klinischen Anforderungen perfekt zu erfüllen.
Optimieren Sie Ihren Workflow mit einem hochauflösenden Dental-Sensor, der sofortige Bildvisualisierung bietet. Keine Entwicklungszeit mehr – erhalten Sie präzise Bilder mit einem einzigen Klick für schnellere und zuverlässigere Diagnosen.
Effizienz. Präzision. Zuverlässigkeit. Heben Sie Ihre Praxis mit modernster Bildgebungstechnologie auf das nächste Level.
Vielseitig und leistungsstark erfüllt dieser Sensor alle Ihre klinischen Anforderungen.
- Endodontie: Verbesserte Präzision für erfolgreiche Wurzelkanalbehandlungen.
- Parodontologie: Früherkennung von parodontalen Läsionen
- Implantat- & Prothesenchirurgie: Optimierte Planung und Nachsorge.
- Kariesdiagnostik: Präzise Erkennung selbst frühzeitiger Läsionen.

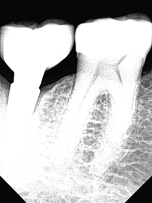
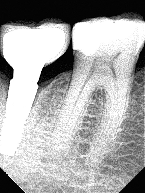
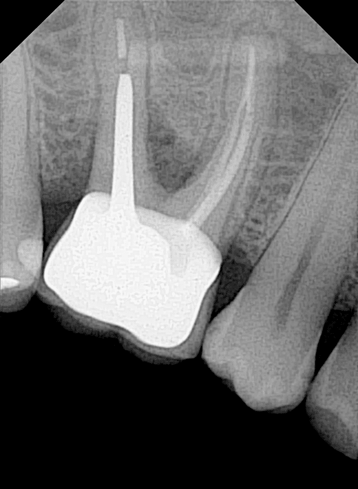
OPTEO Sensor – Klinische Bildgalerie
Ultra-HD Bildqualität – 18,5 Mikron Präzision Außergewöhnlich klare und detaillierte intraorale Bildgebung.

Scharfzeichnungsalgorithmus für die apikale Radiographie
Revolutionäre Präzision für einwandfreie zahnmedizinische Diagnosen
Entdecken Sie einen bedeutenden Durchbruch in der Dentalbildgebung
Unser intelligenter Scharfzeichnungsalgorithmus – speziell für die apikale Radiographie entwickelt – liefert beispiellose diagnostische Klarheit durch hochleistungsfähige Bildverarbeitung.
- Verbesserte Klarheit & Präzision für präzise Diagnostik
- Reduzierte Unschärfe & Artefakte – selbst bei komplexer Anatomie
- Das Unsichtbare sichtbar machen – Präzisionsdiagnostik neu definiert
- Nahtlose Integration – Keine zusätzliche Hardware erforderlich
Wesentliche Merkmale und Kerntechnologien unseres RVG-Sensors
OPTEO: 3 SENSORGRÖßEN
OPTEO: Intraoraler Sensor, optimiert für Zahnarztpraxen
**OPTEO: 3 SENSORGRÖßEN** **OPTEO: Intraoraler Sensor, optimiert für Zahnarztpraxen** Direkte USB-Unterstützung, automatischer Betrieb, verlängerte Haltbarkeit.

Opteo Sensor Größe 1

Opteo Sensor Größe 1.5

Opteo Sensor Größe 2
Ein hochwertiger dentaler intraoraler Sensor
Ultra-HD-Bildqualität für perfekte Zahnfilme.
18,5 Mikron Auflösung.

FOP-TECHNOLOGIE – Energieeffizienter Sensor
Faseroptische Platte (FOP)
Die integrierte FOP und das energieeffiziente Design verlängern die Lebensdauer des Sensors erheblich.
Röntgenstrahlen werden nach dem Blitz in sichtbares Licht umgewandelt, obwohl ein Teil der Röntgenstrahlung nach dem Durchgang durch den Szintillator verbleibt. Sobald diese die FOP durchdringen, bleibt keine Röntgenstrahlung mehr zurück.
Verlängerte Sensorlebensdauer
TECHNOLOGIE – WSA
"Wide Sensitive Area"
Mit dem 1,5-Sensor (24x33 mm) können Sie ein Röntgenbild horizontal aufnehmen.
Mehr Komfort für den Patienten: Die horizontale Positionierung des Sensors ermöglicht es dem Arzt, mehrere Zähne in einer einzigen Aufnahme zu erfassen.
Seine schlanke Bauweise ermöglicht eine mühelose Insertion tief in der Mundhöhle und reduziert so den Würgereflex, der häufig mit dieser Art von Untersuchung verbunden ist. Sein Format ist speziell für Bissflügelaufnahmen optimiert – der Schlüsseluntersuchung zur Erkennung von Zahnzwischenraumkaries und zur Kontrolle des Zustands des Alveolarknochens.
Ein komfortablerer intraoraler Sensor – für Sie und Ihre Patienten

Bissflügelaufnahme mit einem Sensor der Größe 1,5
OPTEO: Der für die Zahnarztpraxis optimierte intraorale Sensor
OPTEO: RENDERN BEI BELICHTUNG

0.05

0.15

0.25

0.35

0.45
NIEDRIGSTE
DOSIS
<-----------Belichtungszeit----------->
@ 65KV, 7mA, 25cm
Höhere
DOSIS
0.05

0.15

0.25

0.35

0.45

WETTBEWERBER: RENDERN BEI BELICHTUNG

Mehrschichtentechnologie
Fortschrittliche Schichtkombination
Die integrierten elastischen Schichten (Anti-Schock-System) schützen den Sensor vor Beschädigungen durch Stürze oder Druck.
Die optimierte Konstruktion mit fortschrittlichen Schichtkombinationen schafft einen ultradünnen Sensor mit einer Breite von nur 6 mm.

Nur wenige Minuten, um es zu entdecken.
OPTEO Intraoral-Sensor Broschüre
Entdecken Sie die neuesten Innovationen in unserer Sensorreihe.
Sensor der neuesten Generation mit WDA-Technologie.

Opteo lässt sich einfach in die meisten Management-Softwares integrieren, die in Zahnarztpraxen verwendet werden (DPI, PMS, usw.), und gewährleistet so eine reibungslose Synchronisierung von Patientendaten und aufgenommenen Bildern.
Dank dieser breiten Kompatibilität können Fachleute ihre gewohnten Tools weiterhin nutzen und gleichzeitig von der Leistung von Opteo profitieren, ohne Unterbrechungen in ihrem Arbeitsablauf.
Die Installation ist schnell, und unser technisches Team steht in jeder Phase zur Verfügung, um eine optimale Integration zu gewährleisten.
Kompatibilität und Integration mit den meisten Management-Softwares
QuickVision
Bildverwaltungssoftware für die Zahnarztpraxis
Die Bildgebungssoftware QuickVision ist für Zahnarztpraxen konzipiert und umfasst eine Patientendatenbank, ein Bildgebungsmodul und ein Zahnschema.
Sie kann mit digitaler dentaler Radiologieausrüstung verwendet werden und dient als zentrale Anlaufstelle, die alle Patientenbilder zusammenführt.
QuickVision ermöglicht Nutzern die Durchführung aller täglichen bildgebenden Aufgaben in der Zahnarztpraxis: Erfassung und Visualisierung von Bildern, Zugriff auf Werkzeuge zur Bildverbesserung, zum Messen, Zoomen, Annotieren von Bildern sowie zum Teilen von Daten und Bildern.



Weitere Produkte zu entdecken
Entdecken Sie mehr Produkte und finden Sie dasjenige, das Ihren Anforderungen entspricht.

Intraoraler Sensor
ONE

Intraoraler Sensor
Opteo

Intraorale Kamera
Owandy IOS














